개요 (Overview)
포도막염녹내장(Uveitic Glaucoma)은 포도막 염증으로 인해 다양한 기전으로 안압이 상승하는 이차 녹내장입니다. 포도막염 환자의 약 **20%**에서 녹내장이 발생하며, 안압 상승의 원인이 염증 자체인지 치료용 스테로이드인지 감별하는 것이 핵심입니다.


역학 (Epidemiology)
- 포도막염 환자의 약 **20%**에서 안압 상승
- 그중 약 절반이 시신경 손상으로 진행
- 녹내장 동반이 흔한 포도막염: Fuchs heterochromic iridocyclitis, Posner-Schlossman, 헤르페스 포도막염, HLA-B27 관련 포도막염
원인/병태생리 (Pathophysiology)
안압 상승 기전 (Open angle)
- Trabeculitis: 염증세포/단백질이 섬유주를 직접 침윤/폐쇄
- 섬유주 부종 및 기능 저하
- 스테로이드에 의한 이차 안압 상승
- 섬유주에 PAS 형성 (만성)
안압 상승 기전 (Angle closure)
- Pupillary block: 360도 후유착(posterior synechiae) → iris bombé → 전방각 폐쇄
- 전방 PAS: 만성 염증에 의한 진행성 각도 폐쇄
안압 하강 기전 (염증 시 안압이 낮을 수 있음)
- 모양체 염증 → 방수 생성 감소 → 안압 하강 (hypotony)
- 안압이 "정상"이라도 실제로는 상대적 고안압일 수 있음
포도막염에서 **안압이 "정상"**이라도 주의: 모양체 염증으로 방수 생성이 감소된 상태에서의 정상 안압은, 염증 회복 후 안압이 상승할 수 있음을 시사합니다.
분류 및 증상/징후 (Classification & Signs)
- 전방 세포(cells)/flare
- KP (keratic precipitates)
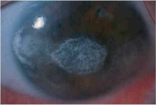
- 후유착 (posterior synechiae)
- PAS (전방각경)
- 안압 상승 (또는 저안압)
진단 (Diagnosis)
- 포도막염 소견 + 안압 상승
- 전방각경검사: PAS 범위, 개방각 vs 폐쇄각 확인
- 스테로이드 사용력 확인 → 원인 감별
포도막염녹내장에서 Pilocarpine은 금기입니다 — 후유착을 악화시키고 염증을 증가시킵니다. 대신 Atropine을 사용하여 후유착을 방지하고 모양체 안정화를 도모합니다.
치료 (Treatment)
원칙
- 염증 조절이 최우선 — 적극적 스테로이드
- 안압하강제 병행
- 스테로이드에 의한 안압 상승이면 → 스테로이드 감량/변경
약물 선택 시 주의
- Prostaglandin: 활동성 포도막염에서 CME 악화 가능 → 주의
- Pilocarpine: 금기 (후유착 악화)
- 베타차단제, CAI, 알파작용제: 안전하게 사용 가능
예후/경과 (Prognosis)
- 염증 조절이 잘 되면 안압도 안정
- 만성 재발성 포도막염 → PAS 축적 → 난치성 녹내장
- 수술 예후: 염증이 조절되지 않으면 수술 실패율 높음
시험 포인트 / Board Points
- Pilocarpine 금기 ⭐⭐⭐: 후유착 악화
- 스테로이드 vs 염증 감별 ⭐⭐⭐: 안압 상승 원인
- Iris bombé: 360도 후유착 → pupillary block → LI
- Prostaglandin 주의: CME 위험
- Fuchs heterochromic iridocyclitis: 안압 상승 빈번, 경미한 염증
Controversies / Recent Updates
- Prostaglandin 사용 가능성: 최근 일부 연구에서 안정된 포도막염에서 PG 사용 가능 시사
- MIGS in uveitic glaucoma: 연구 증가
- 염증 조절이 안압 관리의 기본
- 안압하강제: 베타차단제, CAI 우선
- Pilocarpine 금기, PG 주의
- 수술은 염증 안정 후 시행
참고문헌 (References)
- Siddique SS, Suelves AM, et al. Glaucoma and uveitis. Surv Ophthalmol. 2013;58(1):1-10.
- Heinz C, Koch JM, et al. Prevalence of uveitic secondary glaucoma and success of medical treatment. Acta Ophthalmol. 2009;87(1):79-83.
- Standardization of Uveitis Nomenclature (SUN) Working Group. Classification criteria for uveitic glaucoma. Am J Ophthalmol. 2021.