개요 (Overview)
시신경유두드루젠(Optic Disc Drusen, ODD)은 시신경유두 내에 석회화 침착물이 축적되어 유두가 융기된 것처럼 보이는 상태입니다. **가성유두부종(pseudopapilledema)**의 가장 흔한 원인입니다.


역학 (Epidemiology)
- 유병률: 약 0.3-2%
- 양안성: 약 75%
- 소아: 매몰형(buried) → 성인: 표면형(superficial)으로 진행
분류 및 증상/징후 (Classification & Signs)
- 대부분 무증상 (우연히 발견)
- 매몰형 (buried): 소아, 유두부종처럼 보임 — 감별 어려움
- 표면형 (superficial): 성인, 유두 표면에 반짝이는 결절
Exam Point
ODD vs Papilledema 감별: ODD — spontaneous venous pulsation 보존, 유두 주위 출혈 드묾, 시력 보존. Papilledema — SVP 소실, Paton's lines, 유두 주위 출혈, TVO.
시험 포인트 / Board Points
Board Point
- 가성유두부종의 가장 흔한 원인 ⭐⭐⭐
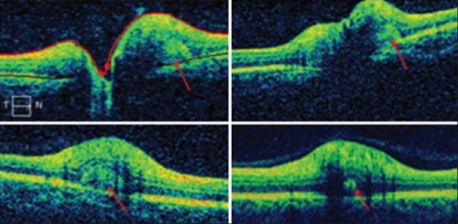
- B-scan: 고에코 석회화 — 가장 특이적 진단법
- OCT-EDI: 드루젠 직접 관찰 가능
- FAF: 드루젠 자가형광
- Spontaneous venous pulsation 보존: 진성 유두부종에서는 소실
Guideline Snapshot— AAO BCSC 2024-2025
- 진성 유두부종과 감별이 핵심
- B-scan, OCT-EDI, FAF로 진단
- 대부분 치료 불필요
- 시야 모니터링 (연 1회)
참고문헌 (References)
- Malmqvist L, et al. OCT-EDI for optic disc drusen. Ophthalmology. 2018;125(5):723-732.
- American Academy of Ophthalmology. Basic and Clinical Science Course, Section 5. 2024-2025.