개요 (Overview)
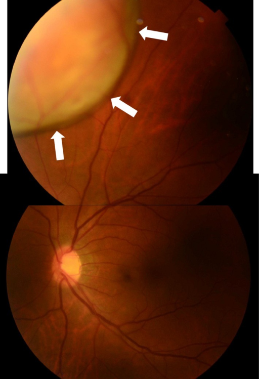
맥락막전이암은 전체적으로 가장 흔한 안내 악성종양입니다 (원발성 중 가장 흔한 것은 흑색종). 여성은 유방암, 남성은 폐암이 가장 흔한 원발입니다. 크림색/황색의 편평한 종괴로 나타나며, 양안 및 다발 병변이 가능합니다.

역학
- 여성: 유방암 (가장 흔한 원발, 40-50%)
- 남성: 폐암 (가장 흔한 원발)
- 맥락막 (88%) >> 홍채/모양체
- 양안 침범: ~25%
- 원발 불명: ~15%
임상 소견
- 크림색/황색 편평 맥락막 종괴 (non-pigmented)
- 장액망막박리 동반
- 다발 가능 (같은 눈에 여러 개)
- B-scan: medium internal reflectivity, 편평/dome
- 레오파드 반점 (leopard spot): FAG 소견
시험 포인트 / Board Points
Board Point
- 가장 흔한 안내 악성종양 (전체) — 전이
- 원발: 유방(여) > 폐(남)
- 크림색/황색, 편평, 비색소성
- 양안/다발 가능 (흑색종은 대부분 편측 단발)
- B-scan: medium reflectivity (흑색종=low, 혈관종=high)
- 원발 불명 시 전신 검색 필수
- 예후는 원발암 stage에 의존
Exam Point
맥락막 종양 감별: 흑색종 = 색소성, mushroom, low reflectivity. 전이암 = 크림색, 편평, medium reflectivity. 혈관종 = 주황색, high reflectivity.
Guideline Snapshot— Expert consensus
- 원발암 검색 (유방, 폐, 기타)
- 전신 항암 + EBRT
- 정기 추적으로 치료 반응 평가
- 예후: 원발암에 의존
참고문헌 (References)
- Shields CL, Shields JA, et al. Survey of 520 eyes with uveal metastases. Ophthalmology. 1997;104(8):1265-1276.
- Arepalli S, Kaliki S, Shields CL. Choroidal metastases: origin, features, and therapy. Indian J Ophthalmol. 2015;63(2):122-127.