개요 (Overview)
색소녹내장(Pigmentary Glaucoma, PG)은 **색소분산증후군(Pigment Dispersion Syndrome, PDS)**의 합병증으로, 홍채 후면의 색소상피에서 탈락된 멜라닌 과립이 섬유주에 침착하여 방수 유출을 저해하는 이차 개방각녹내장입니다.


전형적으로 젊은 근시 남성에서 호발합니다.
역학 (Epidemiology)
- 백인 남성에서 가장 흔함
- 발병 연령: 20-40대
- PDS의 약 **35%**가 녹내장으로 전환 (15년)
- 근시(myopia) 환자에서 흔함
원인/병태생리 (Pathophysiology)
Reverse Pupillary Block 기전
- 후방 → 전방 압력 기울기가 역전
- 홍채가 후방으로 오목하게 휘어짐 (posterior bowing)
- 홍채 후면이 **소대(zonule)**와 접촉
- 마찰로 인한 색소상피 탈락
- 방수 흐름을 따라 색소가 전방으로 이동
- 섬유주에 색소 침착 → 유출 저항 증가 → 안압 상승
운동, 산동, 조절(accommodation) 시 홍채-소대 접촉이 증가하여 색소 분산이 촉진됩니다. 이것이 운동 후 안압 spike의 기전입니다. 눈을 깜빡이는 것도 색소 분산을 유발할 수 있습니다.
분류 및 증상/징후 (Classification & Signs)
세극등 소견
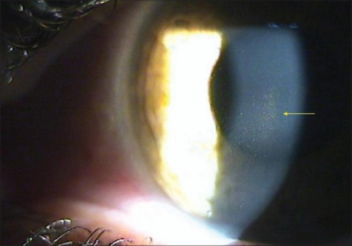
- Krukenberg spindle: 각막 내피면에 수직 방추형 색소 침착 — 가장 특징적
- 수정체 전낭: Zentmayer ring/line (소대 접촉 부위 색소)
- 홍채: 중간주변부 spoke-like transillumination defects
- 전방: 깊은 전방 (근시)
전방각경 소견
- 섬유주 전체에 걸쳐 dense한 동질적 색소침착 (homogeneous)
- Schwalbe line에 색소 불규칙 침착
- 개방각
PG vs PXG — 색소 침착 패턴 비교:
- PG: 섬유주 전체에 동질적(homogeneous) 색소 침착
- PXG: 불규칙한 색소 침착 + Sampaolesi line (Schwalbe line 전방)
진단 (Diagnosis)
- Krukenberg spindle (세극등)
- 홍채 transillumination (spoke-like)
- 전방각경: Dense homogeneous TM pigment
- 깊은 전방 + 후방 오목 홍채 (근시)
- 안압 상승 + 시신경/시야 손상 → 녹내장 진단
치료 (Treatment)
- 약물: POAG와 동일 접근
- SLT: 효과적이나 낮은 에너지 사용 (과도한 반응 주의)
- Pilocarpine: 이론적으로 홍채-소대 접촉 감소에 유용하나 부작용(근시, 조절 경련)으로 젊은 환자에서 제한적
- 수술: 약물/레이저 불충분 시
예후/경과 (Prognosis)
- "Burn-out" 현상: 나이가 들면서 수정체 두꺼워지고 홍채-소대 접촉 감소 → 색소 분산 감소 → 안압 자연 하강
- 그러나 이미 손상된 섬유주는 회복 안 됨
- 조기 치료 시 예후 양호
시험 포인트 / Board Points
- Krukenberg spindle ⭐⭐⭐: 각막 내피 수직 색소 침착
- Spoke-like transillumination ⭐⭐: 홍채 중간주변부
- Reverse pupillary block ⭐⭐: 홍채 후방 오목 → 소대 접촉
- 젊은 근시 남성 ⭐⭐: 전형적 인구통계
- Burn-out 현상: 고령에서 색소 분산 감소
- SLT 주의: 낮은 에너지, 안압 spike 가능
Controversies / Recent Updates
- LI로 reverse pupillary block 해소: 이론적이나 임상적 효과 불확실
- 운동 제한 필요성: 격한 운동 제한 vs 운동 전 약물 투여
- PDS 환자는 정기 안압/시야/OCT 추적
- 녹내장 전환 시 POAG와 동일한 치료
- SLT 시 낮은 에너지 사용
- 운동 관련 안압 spike 교육
참고문헌 (References)
- Campbell DG. Pigmentary dispersion and glaucoma: a new theory. Arch Ophthalmol. 1979;97(9):1667-1672.
- Siddiqui Y, Ten Hulzen RD, et al. What is the risk of developing pigmentary glaucoma from pigment dispersion syndrome? Am J Ophthalmol. 2003;135(6):794-799.
- Niyadurupola N, Broadway DC. Pigment dispersion syndrome and pigmentary glaucoma — a major review. Clin Experiment Ophthalmol. 2008;36(9):868-882.