개요 (Overview)
시신경교종(Optic Pathway Glioma, OPG)은 소아에서 가장 흔한 시신경종양으로, 대부분 **저등급 성상세포종(pilocytic astrocytoma, WHO Grade I)**입니다. NF1(신경섬유종증 제1형) 환자의 15-20%에서 발생합니다.

역학 (Epidemiology)
- 소아(10세 미만)에서 호발
- NF1 관련: 75%가 양성 경과
- NF1 없는 경우: 더 공격적, 시교차 침범 흔함
원인/병태생리 (Pathophysiology)
- NF1: 17q11.2 (neurofibromin) → 종양억제기능 상실 → Ras pathway 활성화
- 조직학: Pilocytic astrocytoma — Rosenthal fiber, eosinophilic granular body
NF1 관련 OPG vs 산발성 OPG: NF1 관련은 시신경에 국한, 자연 안정화 흔함, 예후 양호. 산발성은 시교차/시상하부 침범 흔함, 더 공격적.
분류 및 증상/징후 (Classification & Signs)
- 안구돌출 (축성), 시력저하, 시야결손
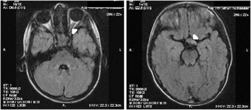
- MRI: 시신경 비대 (kinking/buckling), 시교차 침범
- NF1 소아: 무증상으로 선별검사에서 발견
진단 (Diagnosis)
- MRI: 시신경 비대/조영증강
- NF1 기준: Lisch nodule(홍채 과오종), café-au-lait spots
- 생검: 대부분 불필요 (MRI + NF1 임상 진단)
치료 (Treatment)
- NF1: 경과관찰 → 진행 시 항암 (carboplatin + vincristine)
- 비NF1: 항암 ± 방사선 (더 적극적)
- 수술: 제한적 역할
시험 포인트 / Board Points
- 소아 가장 흔한 시신경종양 ⭐⭐⭐
- NF1 연관: 15-20%, 경과관찰이 원칙
- Pilocytic astrocytoma: WHO Grade I
- 방사선 주의: NF1에서 2차 종양/moyamoya 위험
- MRI: 시신경 비대, kinking
- NF1 환자: 정기 안과검진 (연 1회, 소아)
- OPG 발견: 경과관찰 (NF1)
- 진행 시: 항암화학요법 1차
- 방사선: NF1에서 가급적 피함
참고문헌 (References)
- Gross AM, et al. Selumetinib in NF1-related plexiform neurofibromas. N Engl J Med. 2020;382(15):1430-1442.
- American Academy of Ophthalmology. Basic and Clinical Science Course, Section 5. 2024-2025.