개요 (Overview)
시신경초수막종(Optic Nerve Sheath Meningioma, ONSM)은 시신경을 둘러싸는 **수막(meninges)**에서 발생하는 양성 종양입니다. 중년 여성에서 호발하며, 서서히 진행하는 편측 시력저하가 특징입니다.

분류 및 증상/징후 (Classification & Signs)
- 서서히 진행하는 편측 시력저하, 색각 저하
- 안저: 시신경유두 위축 + optociliary shunt vessel (만성 시신경 압박의 지표)
- 안구돌출: 축성
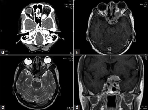
영상 소견
- MRI (조영 + fat suppression): "Tram-track sign" — 시신경 주위 선형 조영증강
- CT: 시신경초 석회화 (pneumosinus dilatans — 관련 소견)
Exam Point
Optociliary shunt vessels (Hoyt-Spencer triad): (1) 시력저하, (2) 시신경유두 위축, (3) optociliary shunt vessel — 시신경수막종의 고전적 3대 소견.
시험 포인트 / Board Points
Board Point
- Tram-track sign ⭐⭐⭐: ONSM의 MRI 특징
- Optociliary shunt vessel: 만성 시신경 압박의 증거
- 중년 여성: 호발 대상
- 수술 시 시력 상실 위험 → FSRT 선호
- 시신경교종과 감별: 교종은 소아/NF1, 시신경 자체 비대
Guideline Snapshot— AAO BCSC 2024-2025
- 시력 보존: 경과관찰
- 진행 시: FSRT (50-54 Gy)
- 수술: 시력 없는 눈/두개내 확장 시에만
참고문헌 (References)
- Turbin RE, et al. FSRT for ONSM. Int J Radiat Oncol Biol Phys. 2018;102(3):616-625.
- American Academy of Ophthalmology. Basic and Clinical Science Course, Section 5. 2024-2025.