개요 (Overview)
앞포도막염(Anterior Uveitis)은 **전방(anterior chamber), 홍채(iris), 모양체(ciliary body)**의 염증으로, 모든 포도막염의 **50-60%**를 차지하는 가장 흔한 형태입니다. 안통, 충혈, 눈부심, 시력저하가 주 증상이며, HLA-B27 관련 질환이 가장 흔한 원인입니다.
역학
- 포도막염 중 가장 흔함 (50-60%)
- 연간 발생률: 약 8-15/100,000
- 호발 연령: 20-50세
- HLA-B27 양성: 앞포도막염의 약 50%
원인
| 연관 질환 | 특징 |
|---|---|
| HLA-B27 관련 | 강직척추염, 반응관절염, 염증장질환, 건선관절염 |
| Herpes (HSV/VZV) | 편측, 높은 IOP, 각막 소견 |
| Fuchs heterochromic iridocyclitis | 편측, 만성, 이색홍채, 미세 KP |
| 사르코이드증 | Mutton-fat KP, 홍채결절 |
| 특발성 | 40-50% |
진단

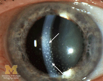
- 세극등검사: 전방세포(cells), 단백(flare), KP, 후유착
- KP 유형: Fine KP(비육아종성), Mutton-fat KP(육아종성)
- 안압: 상승(herpetic, Posner-Schlossman) 또는 저하(심한 염증)
- 전신 검사: HLA-B27, CXR, ACE, RPR/FTA-ABS
치료
- 스테로이드 점안: Prednisolone acetate 1% (1차)
- 조절마비제: Cyclopentolate 1%, atropine 1% (후유착 방지)
- IOP 관리: 안압 강하제 (prostaglandin 제외 — 염증 악화 가능)
시험 포인트 / Board Points
Board Point
- 가장 흔한 포도막염 (50-60%)
- HLA-B27: 급성, 재발, 편측 교대. 강직척추염 연관
- Mutton-fat KP: 육아종성 (사르코이드, 결핵, VKH)
- Fine/stellate KP: 비육아종성 (HLA-B27, Fuchs)
- Fuchs: 편측, 만성, 이색홍채, 미세 KP, 후유착 드묾
- Hypopyon: Behcet, HLA-B27, 감염, 림프종
- 조절마비제 필수 (후유착 방지)
Guideline Snapshot— SUN Working Group / AAO
- 세극등으로 전방세포 등급화 (0-4+)
- 스테로이드 점안 + 조절마비제
- 원인 감별: HLA-B27, 감염, 육아종성 질환
- 재발성 → 면역억제 고려
참고문헌 (References)
- Jabs DA, Nussenblatt RB, Rosenbaum JT. Standardization of uveitis nomenclature (SUN) for reporting clinical data. Am J Ophthalmol. 2005;140(3):509-516.
- Rosenbaum JT. Uveitis: etiology, clinical manifestations, and diagnosis. UpToDate. 2024.