개요 (Overview)
망막동맥폐쇄(Retinal Artery Occlusion, RAO)는 망막동맥의 급성 폐쇄로 인한 안과 응급질환입니다. CRAO는 갑작스러운 무통성 시력상실을 유발하며, 망막의 내층 허혈이 수 시간 내 비가역적 손상을 초래합니다. Stroke equivalent로 간주되어 전신 혈관 평가가 필수적입니다.
역학 (Epidemiology)
- CRAO: 연간 발생률 약 1-2/100,000
- BRAO: CRAO보다 드묾
- 평균 발생 연령: 60-65세
- 남성에서 약간 더 흔함
- 위험인자: 경동맥 질환, 심방세동, 판막질환, 고혈압, 당뇨, 흡연, 고지혈증
- CRAO 후 3년 내 뇌졸중 위험 2-3배 증가
CRAO 환자의 약 **1-2%**에서 **거대세포동맥염(GCA)**이 원인입니다. 50세 이상 모든 CRAO에서 ESR/CRP를 즉시 확인하고, GCA 의심 시 즉시 고용량 스테로이드를 시작해야 합니다 — 반대안 실명 예방이 목적입니다.
원인/병태생리 (Pathophysiology)
색전 원인 (가장 흔함)
- Cholesterol emboli (Hollenhorst plaque): 경동맥/대동맥에서 기원. 밝은 황색, 반짝임
- Fibrin-platelet emboli: 경동맥/심장에서 기원. 회백색, 길쭉
- Calcific emboli: 심장 판막에서 기원. 백색, 움직이지 않음
기타 원인
- 거대세포동맥염(GCA): 염증성 혈관 폐쇄
- 혈전: 동맥경화 위에 형성
- 혈관염, 해부(dissection), 과응고 상태
망막 내층은 중심망막동맥에 의존 → 폐쇄 시 90분 이내 비가역적 손상 시작
분류 및 증상/징후 (Classification & Signs)
중심망막동맥폐쇄 (CRAO)
- 갑작스러운 무통성 시력상실 (보통 CF 이하 또는 LP)
- RAPD 양성
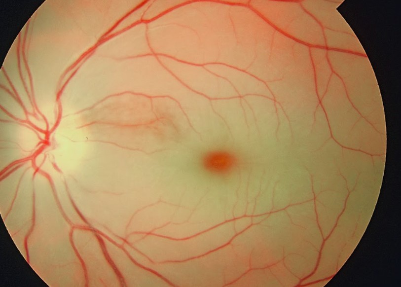
- Cherry-red spot: 황반부 맥락막혈류(정상)가 주변 창백한 망막(허혈)을 통해 비침
- 망막 창백/부종 (inner retinal whitening)
- 동맥 협소, box-carring (혈류 분절)
- Cilioretinal artery 보존 시 (15-30%): 유두황반다발 보존 → 중심시력 일부 유지
분지망막동맥폐쇄 (BRAO)
- 해당 동맥 영역의 시야결손 (갑자기 발생)
- 해당 영역의 망막 창백/부종
- 색전이 분지점에서 관찰될 수 있음
- 시력 보존 가능 (중심와 비침범 시)
Cherry-red spot의 감별진단 CRAO 외에도 cherry-red spot이 보이는 질환:
- Tay-Sachs disease: 영아, 발달 지연
- Niemann-Pick disease: 간비종대
- Gaucher disease (드묾)
- Central retinal artery occlusion: 성인, 급성 시력상실
- Quinine toxicity
→ 시험에서 cherry-red spot의 원인을 물어볼 때 연령이 핵심 단서: 영아면 저장질환, 성인이면 CRAO
진단 (Diagnosis)
CRAO 안저 소견


BRAO 안저 소견

필수 검사
- 시력검사: VA (보통 CF 이하)
- 동공 검사: RAPD 확인
- 안저검사: cherry-red spot, 망막 창백, 동맥 협소
- 안압: 안압 하강 치료 위해 확인
- ESR/CRP: GCA 배제 (50세 이상 모든 환자)
추가 검사
- FAG: 동맥 충만 지연 (AV transit time 연장), 비관류 확인
- OCT: 급성기 inner retinal thickening (edema), 만성기 inner retinal thinning (atrophy)
- 경동맥 초음파/MRA: 경동맥 질환 평가
- 심초음파/심전도: 심장 색전원 평가
- 혈액검사: CBC, PT/aPTT, 지질, 혈당, 호모시스테인
감별진단 (Differential Diagnosis)
| 질환 | 핵심 감별점 |
|---|---|
| 시신경염 | 통증, 정상 안저(구후), disc edema, cherry-red spot 없음 |
| CRVO | 정맥 확장, 화염상 출혈, cherry-red spot 없음 |
| 유리체출혈 | 적색 반사 소실, B-scan에서 유리체내 에코 |
| 망막박리 | 비문증/광시증 선행, 박리된 망막 관찰 |
치료 (Treatment)
응급 치료 (발생 4.5시간 이내)
표준 응급 처치:
- 안구 마사지: 10초 압박/5초 이완, 수 분간 반복 → 색전 이동 유도
- 안압 하강: Timolol 0.5%, Acetazolamide 500mg IV/PO, 전방천자
- 혈관 확장: Carbogen 흡입(95% O2 + 5% CO2), 비재호흡 마스크 고농도 O2
혈전용해 치료 (선택적):
- IV tPA: 뇌졸중 프로토콜 적용 (4.5시간 내)
- IA tPA: 뇌졸중 센터에서 시행 가능
- 근거 수준은 아직 제한적 (EAGLE 연구)
GCA 관련 CRAO
- 즉시 Methylprednisolone 1g IV × 3일 → Prednisone 1mg/kg/day 경구
- 측두동맥 생검 (2주 이내)
- 반대안 보호가 최우선 목적
- 목적: 급격한 안압 하강으로 색전 distal 이동 유도
- 방법: 30G 바늘로 limbus 통해 0.1-0.2mL 전방수 배액
- 핵심 팁: 무균 조건 필수, 수정체 손상 주의
- 합병증: 전방출혈, 감염 (드묾)
예후/경과 (Prognosis)
- CRAO: 예후 매우 불량. 시력 회복은 대부분 제한적 (최종 VA ≤ 20/400이 60-80%)
- Cilioretinal artery 보존 시 상대적으로 양호
- BRAO: 예후 비교적 양호. 상당수에서 시력 호전 (중심와 비침범 시)
- CRAO 후 3년 내 뇌졸중/심혈관 사고 위험 증가 → 장기적 전신 관리 필수
시험 포인트 / Board Points
주요 시험 출제 포인트
- Cherry-red spot: CRAO의 classic 소견 — 영아에서는 저장질환 감별
- RAPD: CRAO에서 양성 (BRAO에서는 보통 음성)
- GCA 배제: 50세 이상 CRAO에서 ESR/CRP 필수
- Hollenhorst plaque: cholesterol emboli, 경동맥 기원
- Cilioretinal artery: CRAO에서도 유두황반다발 관류 유지 → 중심시력 보존 가능
- Stroke equivalent: 전신 혈관 평가(경동맥, 심초음파) 필수
- 색전 종류: Cholesterol(노란/반짝), Fibrin-platelet(회백), Calcific(백색/부동)
Controversies / Recent Updates
- CRAO의 stroke center 이송: AHA에서 CRAO를 stroke equivalent로 분류, 4.5시간 내 혈전용해 고려 권고
- IV tPA 시간 창: 뇌졸중과 동일한 4.5시간 기준 적용 여부 논란
- Hyperbaric oxygen: 일부 보고에서 보조적 효과, 근거 부족
- 망막 허혈 내성: 90분? vs 더 긴 시간? — 실제 임상에서의 치료 시간 창에 대한 재평가 진행 중
- CRAO를 acute stroke equivalent로 간주
- 4.5시간 이내: IV tPA 고려 (뇌졸중 프로토콜)
- 50세 이상: GCA 배제 필수 (ESR/CRP)
- 모든 RAO: 경동맥/심장 색전원 평가
- 장기적 뇌졸중/심혈관 위험 관리
참고문헌 (References)
- Hayreh SS. Acute retinal arterial occlusive disorders. Prog Retin Eye Res. 2011;30(5):359-394.
- Mac Grory B, Schrag M, et al. Management of central retinal artery occlusion: a scientific statement from the AHA/ASA. Stroke. 2021;52(3):e282-e294.
- Schumacher M, Schmidt D, et al. Central retinal artery occlusion: local intra-arterial fibrinolysis versus conservative treatment (EAGLE). Ophthalmology. 2010;117(7):1367-1375.
- Park SJ, Choi NK, et al. Acute ischemic stroke risk after retinal artery occlusion. PLoS One. 2015;10(3):e0122168.
- Varma DD, Cugati S, et al. A review of central retinal artery occlusion: clinical presentation and management. Eye. 2013;27(6):688-697.